
交警开道将患儿顺利送到医院救治。天桥交警供图

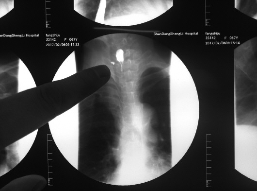
从房老太的片子上,能清楚地看到枣核的样子。 本报记者 孔雨童 摄
白天误食30多片消食片 两岁女娃晚上突然抽搐
本报记者 张泰来
实习生 郝榕榕
“孩子不想吃饭,就用ⅹⅹ健胃消食片。”这句广告语,很多家长都不会陌生。可前些天,济南一个两岁大的孩子,却因吃了30多片消食片而陷入危险,经过紧急救治才脱离危险。13日,济南警方通报了这样一起案件。
“快,帮忙开个道,车上有孩子,急病!”9日晚上10点10分左右,济南交警天桥区大队七中队民警正在历山北路集中查处交通违法,一辆出租车突然停在检查点前。车没停稳,坐在车内的一名女士就不停用手拍打着车窗,带着哭腔请求交警开道。
看到女士着急的样子,民警判断事情紧急。他听说车内的患者是个两岁大的孩子,随即便中断了查处。他留下几名民警处理善后事宜,自己和另一名民警随即上了警车,沿着历山北路从北向南奔向山大二院。
一路上,交警与指挥中心一直保持联系。仅5分钟后,车辆就顺利到达了医院。
“医生、医生,赶紧救救孩子!”出租车刚在急诊室外停下,患儿的父亲就一步跳出车外,抱着孩子飞一般跑向分诊台。患儿母亲神情紧张地跟着,嘴里不停喊着“救救孩子,救救孩子”,民警也下车协助患儿父母送孩子顺利就诊。
患儿的父母介绍,孩子是一个只有两岁的女童。当天白天,分不清食物和药物的孩子吃了30多片健胃消食片,家长竟也没太在意。到了晚上,孩子突然大小便失禁,到后来呼吸急促、浑身抽搐。看见孩子难受得不住啼哭,家长这才着了急,赶紧找了辆出租车送孩子去医院。送医途中,在行驶至历山北路时看见交警,为尽可能缩短路上的时间,便向交警求助。
当前,消食片已被许多家庭常备,用作治疗孩子不想吃饭的法宝。殊不知,被许多人认为“无毒副作用”的消食片也是不宜多吃的。
据了解,一般健胃消食片的主要成分包含太子参、陈皮、山药、麦芽(炒)、山楂,辅料为蔗糖、糊精、硬脂酸镁等。
其中,太子参为补虚补气药;陈皮主要功用是理气开胃、化痰,治脾胃病;山药养颜益气生津消渴。总而言之,健胃消食片是一种用于治疗消化不良、不思饮食等症状的中成药,也是销售量名列前茅的非处方药。
可是,医疗人员提醒,健胃消食片并不能多吃,在健胃消食片的使用说明中也多注明“成人每次三片,一日三次”,尤其是儿童更不能过多、过于频繁使用。
“不管怎么说,健胃消食片毕竟是药,既然是药肯定就有个适用剂量的问题。特别是对处于成长期的儿童来说,健胃消食片含的消化酶如果摄入过多,会对心脏、胃部造成负担,出现不良反应。”省千佛山医院营养科副主任程振倩说,过于频繁使用健胃消食片也不利于儿童消化功能的发育。
囫囵吞枣没当回事 枣核刺破食道险酿出血
本报济南2月13日讯(记者 孔雨童) 过年吃个年糕本来是充满喜气的事,但济南长清68岁的房老太却经历了一场惊险。因为误把一颗大枣囫囵吞下,枣核刺破房老太食道造成穿孔,险些波及纵隔大血管。
2月13日,刚刚出院的房老太还不能正常饮食。她介绍说,自己正月初五去亲戚家吃饭,吃年糕的时候一颗大枣掉到了粥里,自己不小心就吞下去了。接下来的几天里,她常常感觉到脖子里一阵阵剧痛。“我还以为是枣子划破了食道,所以也没在意。”没想到脖子疼得越来越厉害,她去了当地医院检查,发现一颗大枣核卡在了食道里,而且把食道壁给穿破了。
由于手术风险太大,房老太被转到了省立医院西院,通过食道镜才把枣核取出。
“纵隔处有很多从心脏出来的大血管,枣核一旦刺破食道壁就有生命危险。”省立医院西院头颈外科医生田家军介绍,房老太还属于比较幸运的,此前有一名同样被枣核刺破食道的烟台患者,因为枣核大部分穿出食道用食道镜无法取出,而不得不经开胸手术取出。
医生介绍,近年来,每年春节和节后的一段时间,都是枣核穿孔的高发期。“早年山东这边吃的都是小枣,近年来老百姓大枣吃得非常多。”省立医院西院头颈外科主任徐伟介绍说,这类大枣因为枣核长,两头十分尖锐,对于一些牙齿缺失、口腔感觉不敏锐的老年人来说,在不慎吞下后十分容易造成穿孔。山东人喜欢吃枣糕、枣山,春节期间这类事故更多。在省立医院西院,去年春节期间曾有过一天收治五名枣核穿孔者的情况。
徐伟提醒市民,家里有老人的,尽量少吃这类大枣和枣糕等食品;一些喜欢吃大枣,用枣泡水喝的年轻人也要格外注意。