济南市人民医院完成首例腓骨髓内钉手术

齐鲁晚报     2021年03月19日
  本报3月18日讯(记者 亓玉飞 通讯员 通讯员 刘建勇 孙兆云) 近日,济南市人民医院创伤骨科在郭新银副主任的指导下,王星主任医师率领孙兆云副主任医师、李士光主治医师完成该院首例腓骨粉碎性骨折髓内钉内固定手术,这标志着医院骨折髓内钉治疗技术进入更高技术要求的专家级髓内钉阶段。
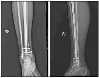
  患者亓某,男,48岁,因摔倒致右小腿疼痛活动受限3小时,于3月2日入院,诊为右胫腓骨粉碎性骨折(远段)。
  王星主诊医师团队认真分析患者伤情:按常规治疗方法,可采用切开复位胫腓骨远端钢板内固定手术治疗,但小腿远段软组织覆盖少,筋膜间室空间有限,若在胫腓骨外各放置一块钢板,将大大增加筋膜间室的内容物,造成筋膜室高压或刀口缝合困难。通常此类患者术前需等待2周左右,充分消肿后再手术。而且钢板为偏心型固定,力学稳定性远不如髓内钉的中心型固定。王星主诊医师团队经过讨论,决定采取目前最为先进的髌上入路超远端锁定专家级髓内钉固定胫骨,腓骨远端髓内钉固定腓骨的手术方案。由于腓骨髓内钉省内鲜有应用,创伤骨科申请由外省调来腓骨髓内钉器械,于3月10日顺利完成胫腓骨远端2处骨折2种髓内钉固定手术。术后拍片骨折复位固定良好。
  据悉,“骨折微创治疗技术”是创伤骨科“重点医疗技术项目”,髓内钉内固定技术是骨折微创治疗技术的重要技术之一。创伤骨科应用髓内钉技术有悠久的历史,从胫骨干髓内钉到股骨干、肱骨干髓内钉,从开放复位髓内钉到闭合复位髓内钉,从胫骨传统的髌下入路到胫骨髌上入路髓内钉,从常规髓内钉到超远、近端锁定专家级髓内钉,其中股骨近端防旋髓内钉(PFNA)治疗老年髋部骨折获2014年度医院科技一等奖。一次次技术突破大大扩展了髓内钉的应用范围,给病人带来更微创、更牢固的治疗方案。
  腓骨骨折髓内钉内固定技术的成功开展,标志着该院创伤骨科在髓内钉应用技术应用向远端骨折的更广泛领域扩展,能为更多的病人提供更为微创、牢固、安全、美观的治疗方法。



上一篇 下一篇